• + 34 983 42 04 00 ext. 85954
  • geibac@uva.es
icon

AI-powered solutions for neuroimaging

background

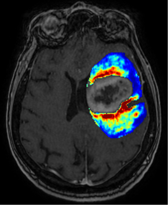
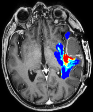
GlioMap

GlioMap is an innovative solution designed to predict areas of infiltration and subsequent recurrence in glioblastoma using radiomic features derived from multiparametric MRI.

This model leverages voxel-wise radiomic features extracted from the non-enhancing peritumoral region of glioblastomas on multiparametric structural MRI. It outputs the probability for each voxel to become a site of future tumor recurrence, visualized through color-coded maps.

Clinical Relevance

Glioblastoma is the most common malignant brain tumor, with a median survival of only 15 months. Standard treatment includes maximal safe resection of the tumor's contrast-enhancing volume, followed by radiation and chemotherapy.

I

Studies reveal that 80% of tumor recurrences occur at the margins of the surgical cavity, often in non-contrast-enhancing regions (peritumoral zones).

II

Extending resection boundaries (supramarginal resection) has been shown to prolong survival. However, advanced imaging techniques like perfusion MRI, spectroscopic MRI, and diffusion MRI are not widely available to identify infiltrated regions or recurrence sites.

III

Currently, there is no precise boundary for supramarginal resection during surgery, and radiotherapy continues to rely on standard margins.

Key Advantages

01

Accessible Technology

GlioMap uses basic MRI sequences available in any hospital, making it practical for widespread clinical use.

02

Validated on External Datasets

The model has been tested across different MRI scanner manufacturers and acquisition protocols, ensuring reproducibility and reliability.

03

Histological Validation

GlioMap is the first model to validate its predictions through histological analysis, further strengthening its clinical utility.

04

Clinical Application

It is actively being used in clinical practice to guide supramarginal surgery as part of the SupraGlio Trial (NCT05735171).

Watch in Action

Publications

  • 2023 Cancers

    Cepeda S. et al.

    Predicting Regions of Local Recurrence in Glioblastomas Using Voxel-Based Radiomic Features of Multiparametric Postoperative MRI

  • 2023 Neuro-Oncology

    Cepeda S. et al.

    External evaluation of a machine learning model employing radiomics to identify regions of local recurrence in glioblastoma from postoperative MRI

  • 2023 Brain and Spine

    Cepeda S. et al.

    Machine Learning-based Identification of Local Recurrence Regions in Glioblastoma using Postoperative MRI: Implications for Survival Prognostication

License

Creative Commons Attribution-NonCommercial License: This repository is licensed under the Creative Commons Attribution-NonCommercial (CC BY-NC) license. This license allows others to freely use, modify, and distribute the software for non-commercial purposes only. You are granted the right to use this software for personal, educational, and non-profit projects, but commercial use is not permitted without explicit permission. For more details, please refer to the LICENSE file.